安博体育 新闻
安博体育外一科成功开展PFNA(股骨近端髓内钉)手术
发布时间:2013-02-27
“真是没想到,这么快就可以行动了,不用一直一动不动地躺在床上,感觉真好。”2月25日,在安博体育
外一科住院的张先生向前来查房的主治医生表达着自己的喜悦之情。
原来,左股骨骨折的张先生在手术中接受了PFNA技术(股骨近端髓内钉技术),张先生的手术所运用的新技术是安博体育
去年12月成功开展来第三例了。
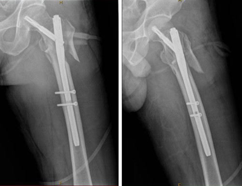
据了解,一个星期前,48岁的张先生在工作中不慎摔倒在地,左髋部受伤严重,入住外一科。经X线查看,彭先生左股骨转子下粉碎性骨折。针对彭先生的伤情,外一科骨科专家团队对治疗方案进行了慎密的思考和设定,外一科团队顺利为张先生完成了“左股骨转子下骨折切开复位PFNA内固定术”。整个手术过程约1小时。术后第2天张先生已经可以坐起,第5天已可坐在床边活动左腿,第7天就能将左腿抬离床面,左腿功能也迅速得以恢复。
外一科主任蔡厚洪介绍说:PFNA技术是一种融合了微创技术的内固定手术方式。该类手术由于其手术创伤小、手术时间短、术间出血少、术中术后并发症发生率低、骨折愈合时间短力学稳定性高等优势,病人能够早期自主配合康复锻炼,临床疗效非常满意。

术前X线

术后X线

术后切口情况







公安备案号:44030502005065号